Ανοιχτά σήμερα: 09:00 - 13:00 18:00 - 20:00
μελέτη ιστικης παραμορφωσης
μελέτη ιστικης παραμορφωσης
μελέτη ιστικης παραμορφωσης
μελέτη ιστικης παραμορφωσης
μελέτη ιστικης παραμορφωσης

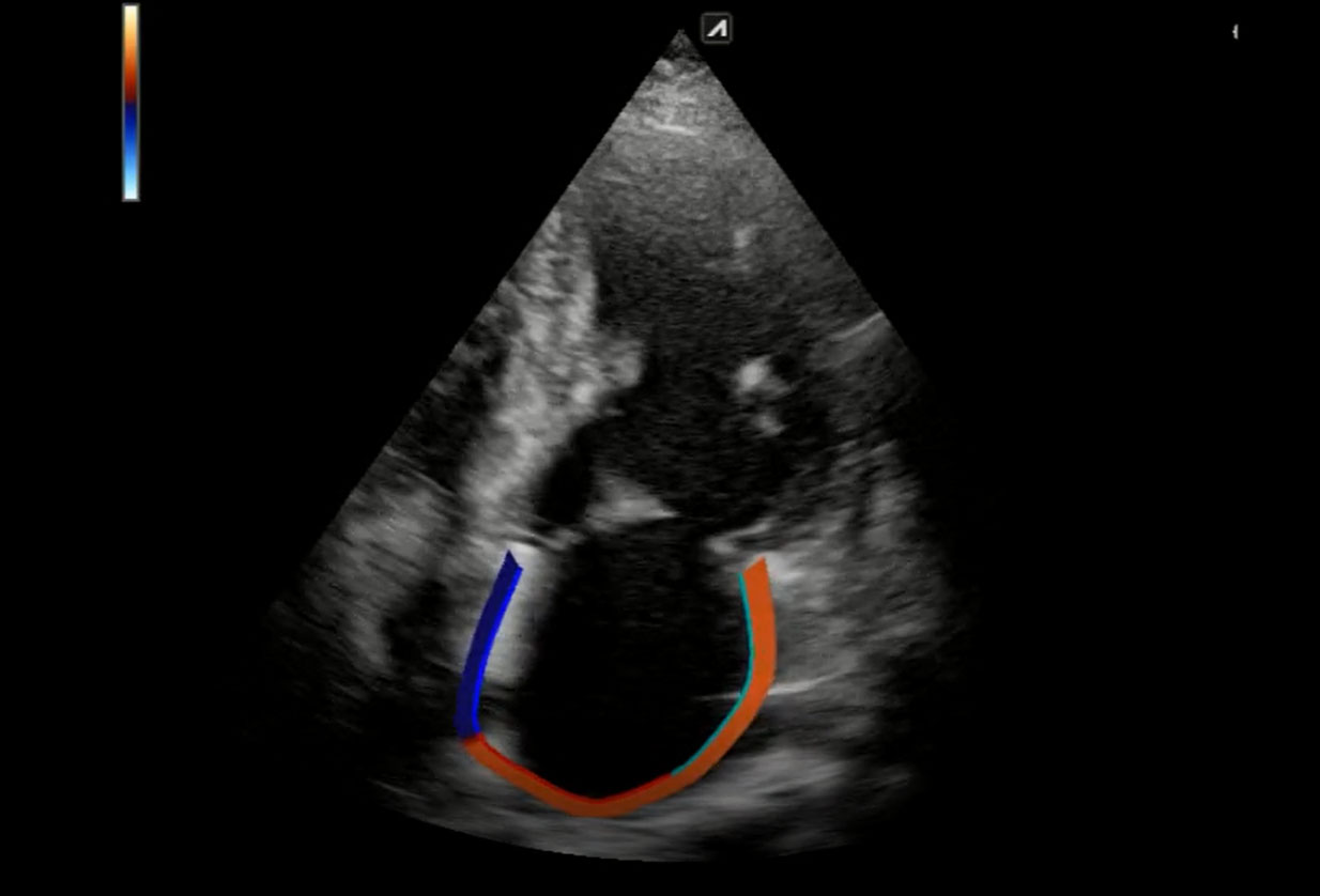
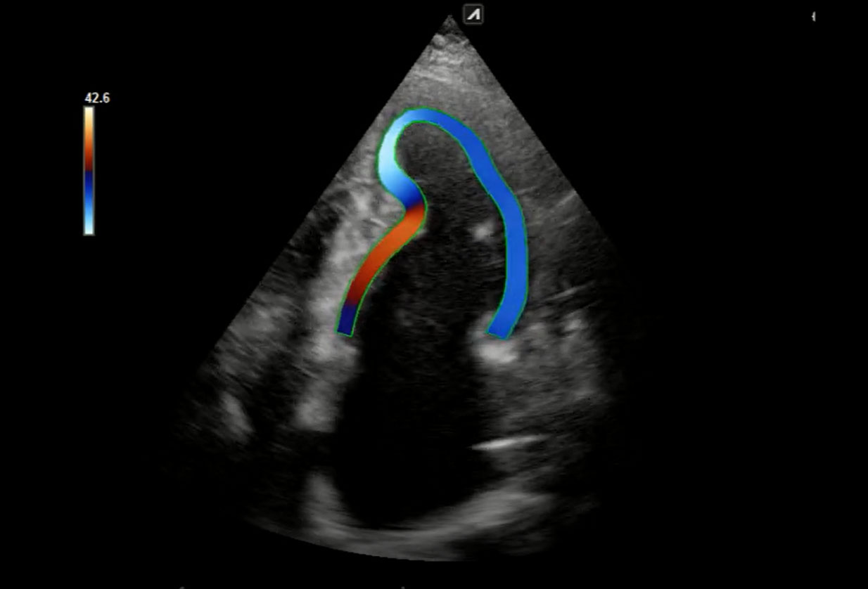
Μελέτη ιστικής παραμόρφωσης (myocardial strain)

Εξέταση που αυξάνει κατά πολύ τη διαγνωστική αποτελεσματικότητα

Στο ιατρείο μας έχουμε τη δυνατόητα εφαρμογής νεότερης τεχνολογίας υπερηχογραφικών τεχνικών (longitudinal strain) που αυξάνουν κατά πολύ την διαγνωστική αποτελεσματικότητα. Το λογισμικό αναλύει την λειτουργία της καρδιάς και εντοπίζει τμηματική και συνολική δυσλειτουργία που δεν ειναι εμφανής στο γυμνό μάτι.

Συμβεβλημένος με ΕΟΠΠΥ

Προγαμματίστε το ραντεβού σας μέσω ΕΟΠΥΥ

Καλέστε μας για να κλείσετε τηλεφωνικά το επόμενο ραντεβού σας!

Εξειδικευμένη εξέταση μελέτης ιστικής παραμόρφωσης

H εξέταση γίνεται με εφαρμογή νεότερης τεχνολογίας υπερηχογραφικών τεχνικών (longitudinal strain) που αυξάνουν κατά πολύ την διαγνωστική αποτελεσματικότητα.